What Is Composite Bonding?

Composite bonding is a non-invasive cosmetic procedure where a tooth-coloured resin material is applied to the surface of the teeth to enhance their appearance. The resin is meticulously shaped and polished to achieve a flawless, natural look.

Unlike veneers or crowns, which require the removal of a portion of the natural tooth, bonding preserves your natural enamel, making it one of the most conservative ways to improve your smile.

What Can Composite Bonding Fix?

  • Chipped or cracked teeth – Restore broken enamel for a smooth, even look.

  • Gaps between teeth – Close small spaces without orthodontic treatment.

  • Uneven or misshapen teeth – Reshape teeth for a more symmetrical smile.

  • Discoloration or staining – Cover stains that don’t respond to whitening.

  • Worn-down teeth – Rebuild lost structure from grinding or erosion.

Since the process is pain-free and requires no anesthesia, it’s ideal for patients looking for quick and effective smile enhancements without the downtime of more complex treatments.


Why Choose Composite Bonding Over Other Treatments?

With so many cosmetic dental options available, why is composite bonding such a popular choice?

  1. Minimally Invasive & Reversible
    Unlike ceramic veneers or crowns, which require enamel reduction, composite bonding doesn’t alter your natural tooth structure. If you decide to remove or replace it in the future, your natural tooth remains intact.

  2. Immediate Results
    In most cases, composite bonding can be completed in a single visit, meaning you can walk out with a transformed smile in just a few hours. Occasionally, Dr Malik will advise you to return for a finishing and polishing procedure. 

  3. A Cost-Effective Cosmetic Solution
    Compared to porcelain veneers or crowns, composite bonding is a more affordable option while still delivering impressive aesthetic improvements.

  4. Natural Appearance
    Advanced shade-matching technology ensures that the composite material blends perfectly with your natural teeth, creating an undetectable finish.

  5. Safe & Comfortable
    Since no drilling or anesthesia is needed, composite bonding is a completely painless experience, making it ideal for anxious patients.


Why Choose a Specialist for Composite Bonding?

While composite bonding is a widely offered procedure, the difference between an average result and a truly aesthetic, long-lasting transformation lies in the hands of a skilled specialist.

A cosmetic dentist with advanced training in smile aesthetics, shade matching, and layering techniques will ensure:

  • A flawless, natural blend – Expert colour selection and layering techniques mimic the translucency and texture of real enamel.

  • Precision shaping for harmony – Attention to detail ensures that each tooth looks balanced and symmetrical.

  • Longer-lasting results – High-quality composite materials and expert application techniques improve longevity and resistance to staining.

  • Personalised treatment planning – A specialist considers your facial features, lip dynamics, and bite alignment to craft a bespoke smile.

Choosing a highly skilled aesthetic dentist ensures that your composite bonding doesn’t just look good—but also feels natural and lasts longer.


How Composite Bonding Works: Step-by-Step

  1. Consultation & Smile Analysis
    Your journey starts with a thorough consultation, where Dr. Malik assesses your teeth, discusses your goals, and determines if composite bonding is the right treatment for you.

  2. Trial Smile
    During the Trial Smile session, Dr. Malik will create a temporary version of your new smile to assess occlusion and make any necessary adjustments before finalising the composite bonding treatment.

  3. Shade Matching & Tooth Preparation
    A custom-matched composite resin is selected to blend perfectly with your natural teeth. The surface of the tooth is then lightly roughened and/or etched to improve adhesion.

  4. Application & Shaping
    The composite resin is applied in layers, carefully sculpted to achieve the ideal shape and contour. This step requires artistic skill to ensure the bonded area seamlessly integrates with the surrounding teeth.

  5. Curing & Hardening
    A specialised light hardens the material instantly, bonding it securely to the tooth.

  6. Final Polishing & Finishing Touches
    The bonded area is polished to perfection, giving it a natural shine and texture that matches your enamel.

The entire process is quick, painless, and requires no downtime—you can enjoy your new smile immediately!


How Long Does Composite Bonding Last?

With proper care, composite bonding can last from 3-7 years or more, however, annual maintenance appointments are suggested for minor adjustments and polishing of the restorations. To keep your results looking their best:

  • Maintain good oral hygiene (brushing twice daily & flossing).

  • Avoid biting hard objects (nails, pens, ice).

  • Limit staining foods and drinks (coffee, tea, red wine).

  • Visit your dentist for regular check-ups and polishing.

If minor wear or chipping occurs over time, composite bonding can be easily repaired or refreshed.


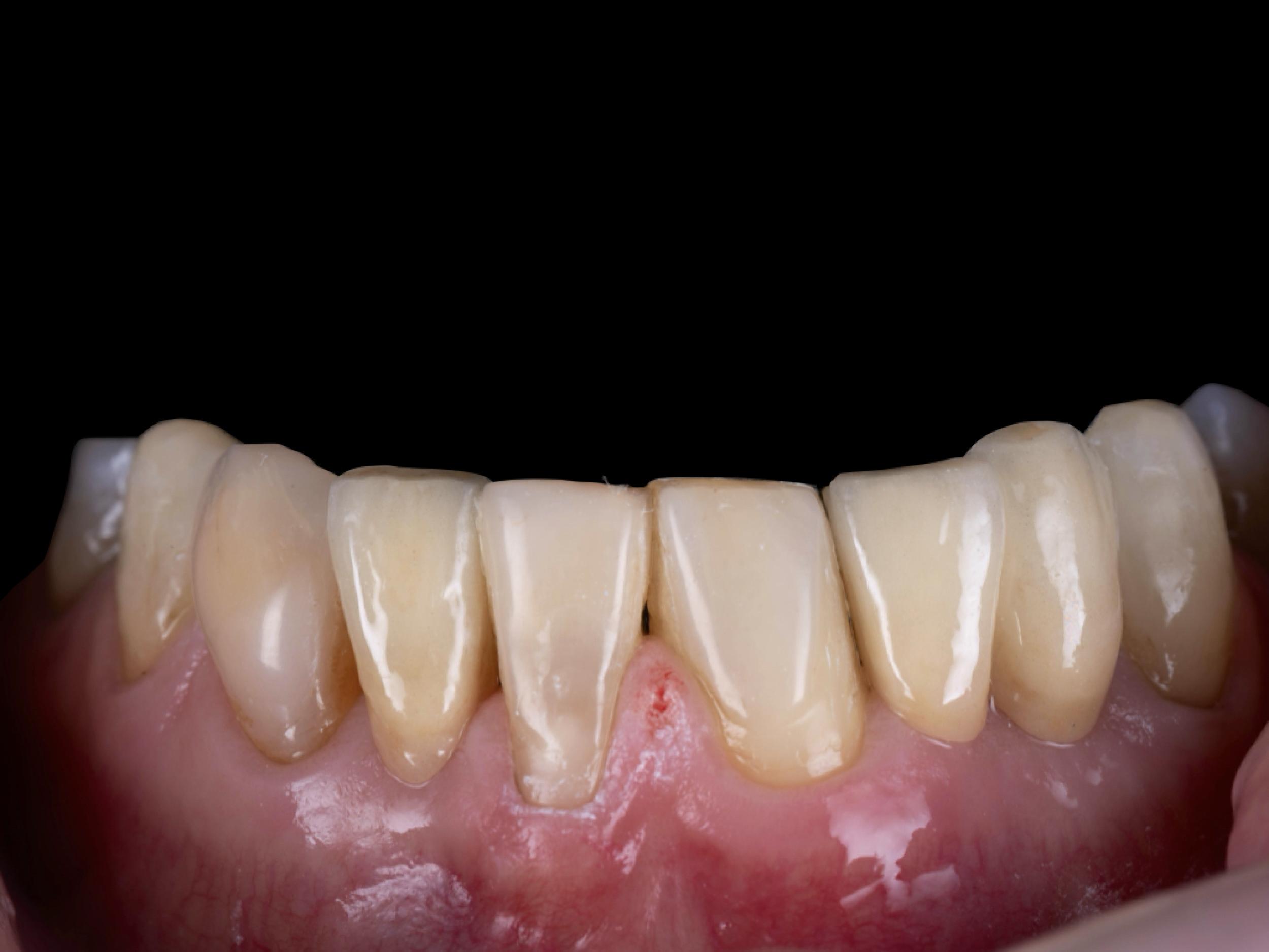
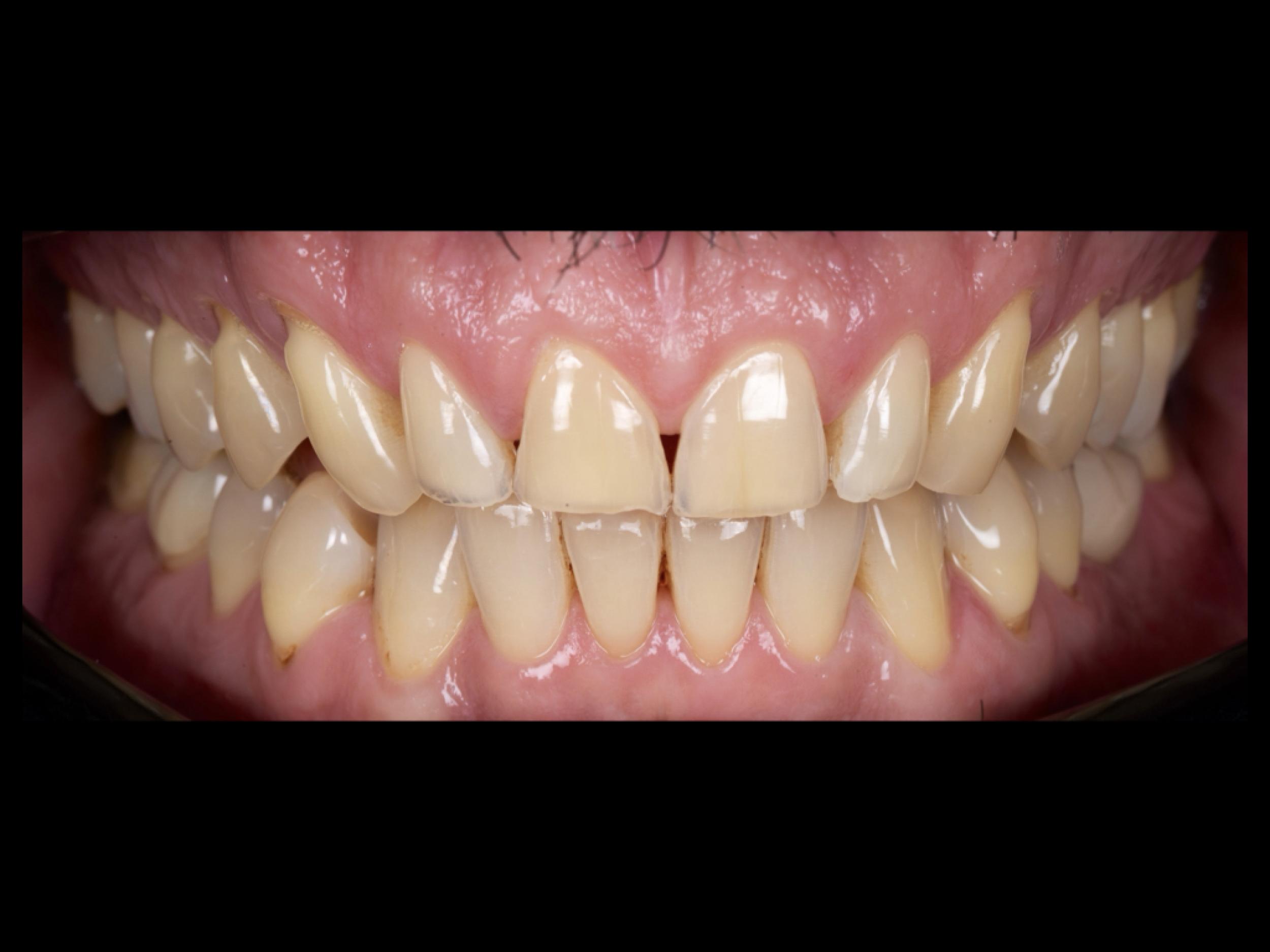
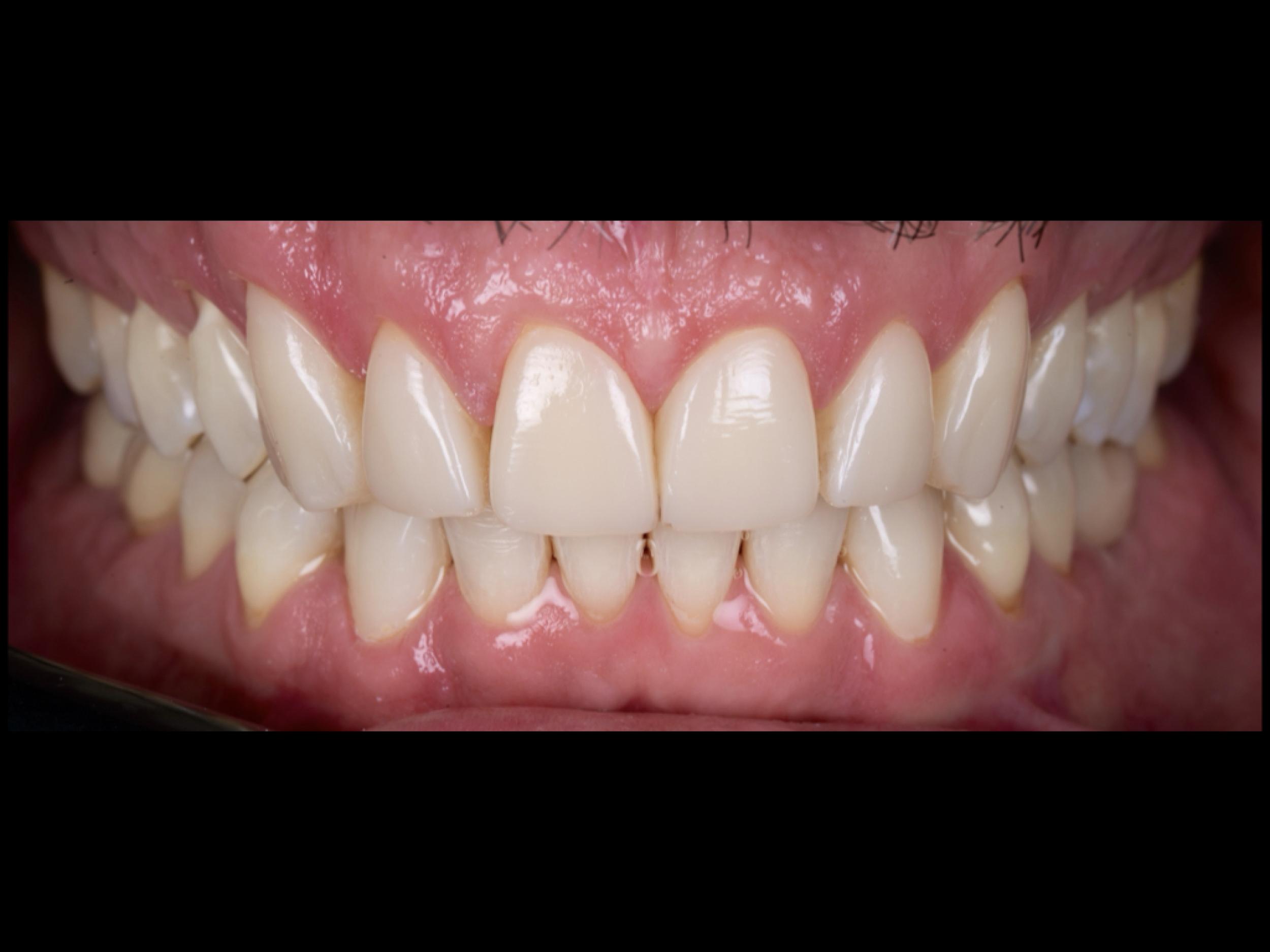
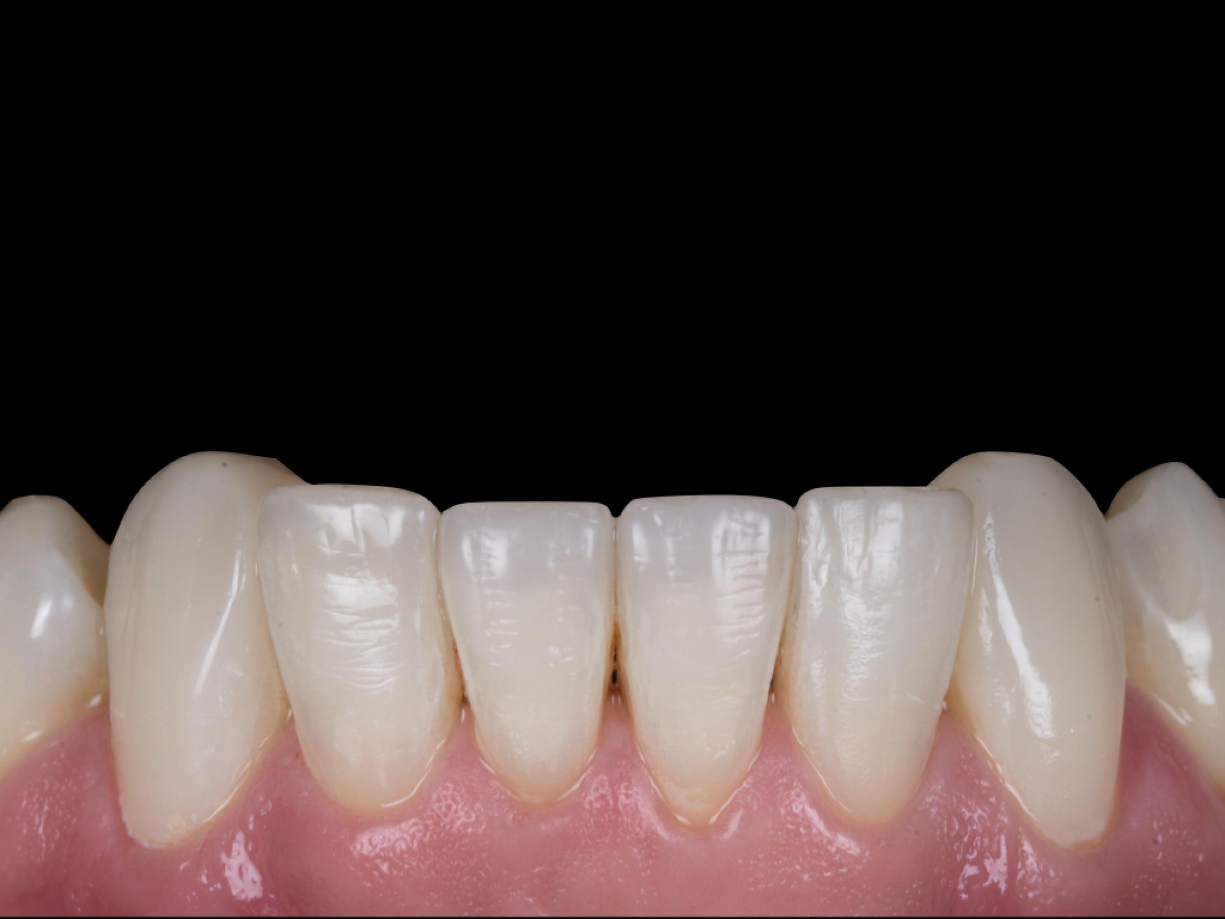
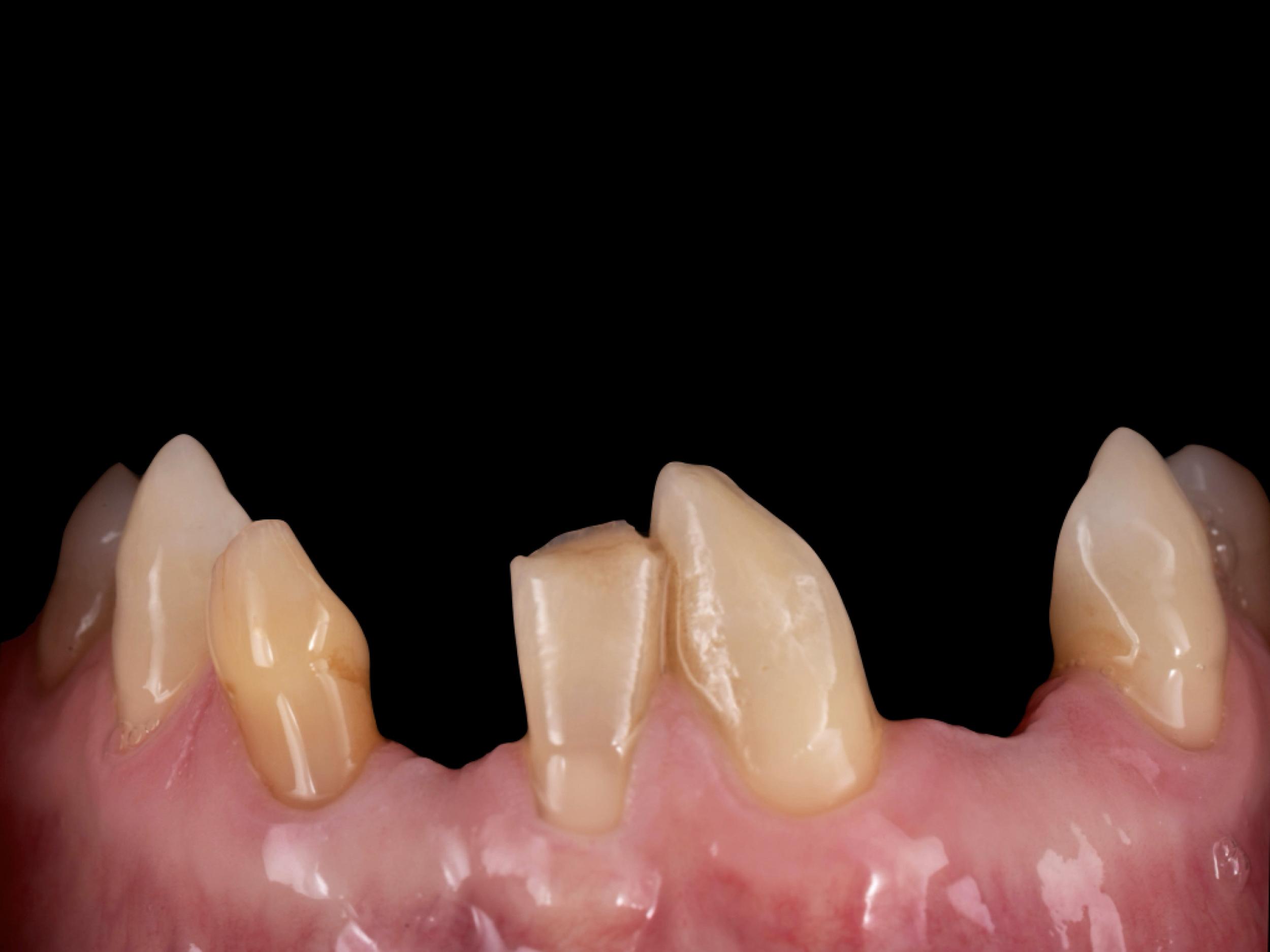
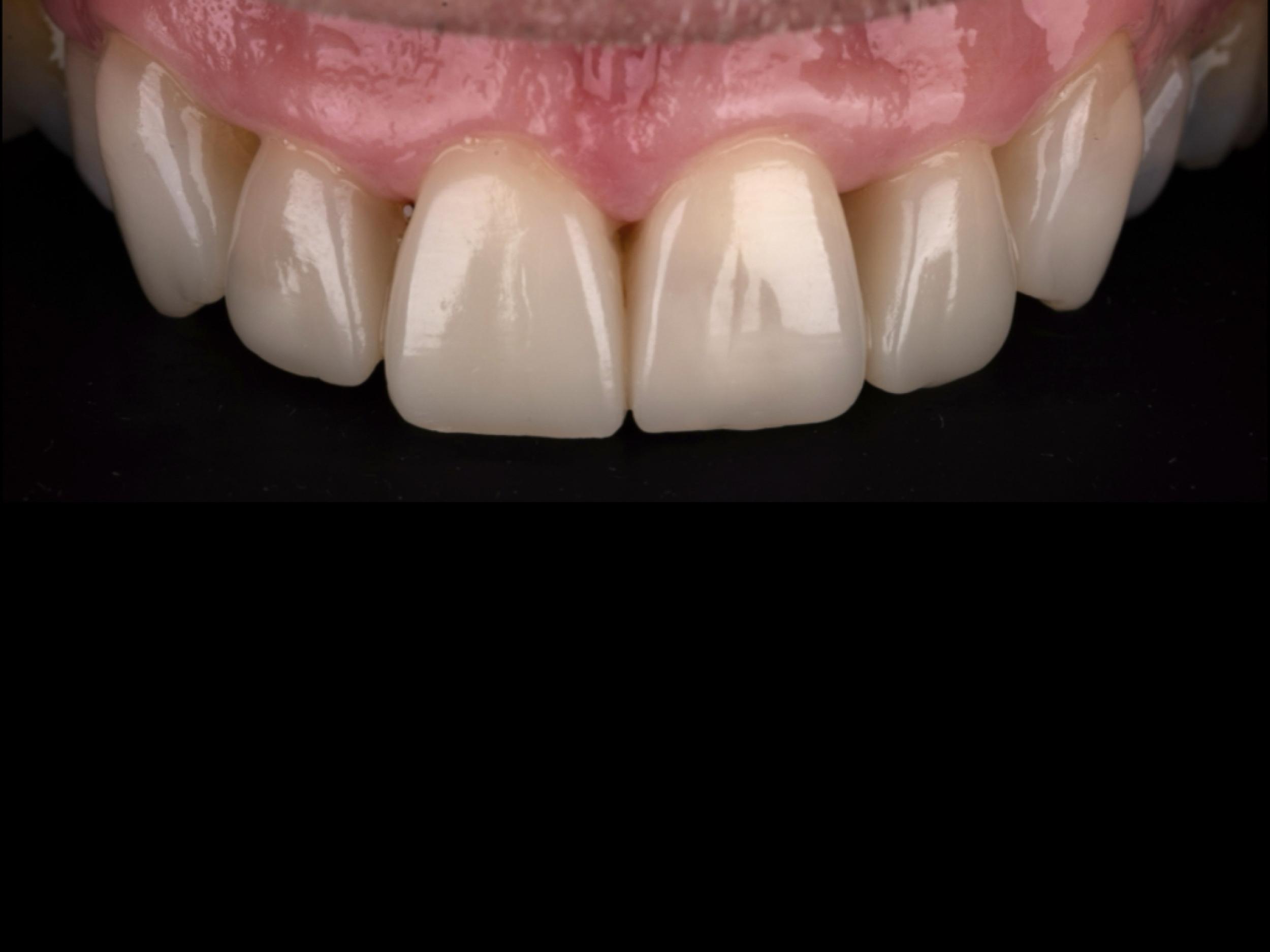
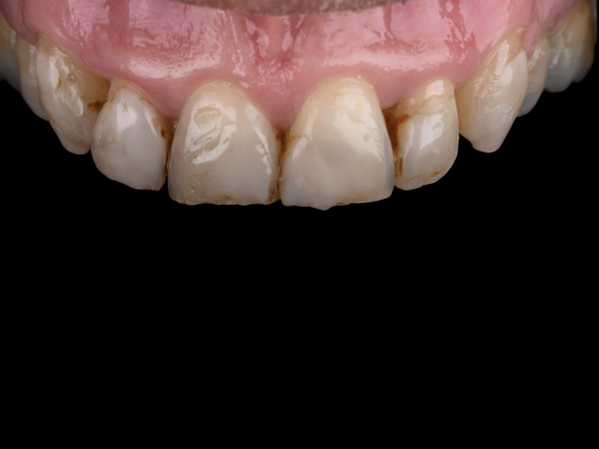
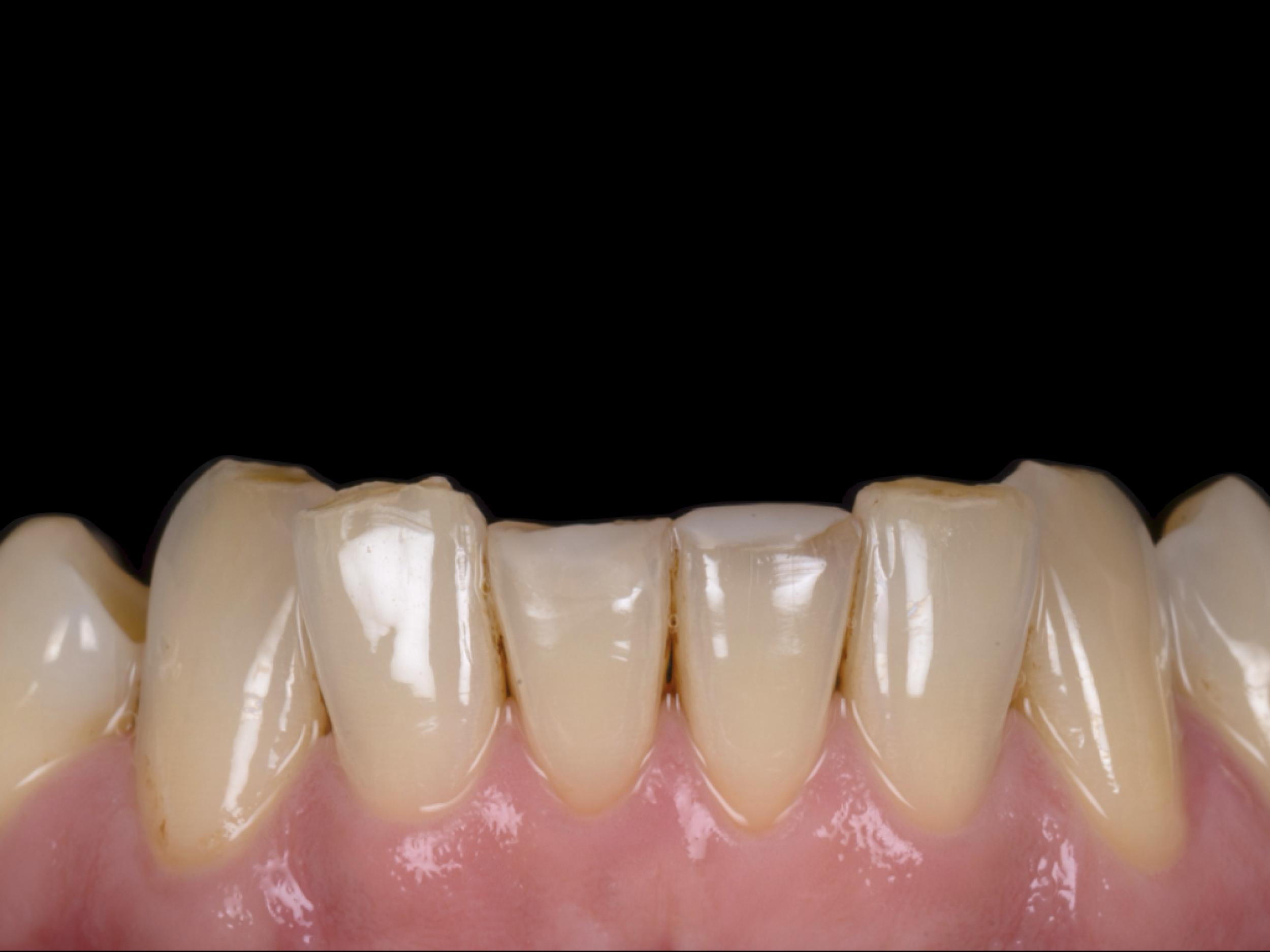
COMPOSITE BONDING - BEFORE AND AFTER


Ready for a Flawless, Natural Smile?

Composite bonding offers an instant, pain-free, and cost-effective way to enhance your smile while preserving your natural teeth. Whether you’re fixing a single tooth or designing a full smile makeover, this technique provides beautiful, natural-looking results when performed by an experienced dentist.

Cta Bg

Need more information?

As a specialist Dr Junaid Malik offers a full range of prosthodontic, restorative and aesthetic dental treatments.