What Are Crowns and Bridges?

Both treatments require the preparation of the natural tooth structure. This means that a certain amount of tooth structure is removed—or filed down—to accommodate the crown or bridge. Although this process may sound invasive, when performed by a skilled specialist, it is carried out with precision and care to minimise discomfort and preserve as much healthy tooth structure as possible.

What is the difference between a crown and a bridge?

Crown

Crowns are essentially caps placed over a damaged or decayed tooth. They restore the tooth’s shape, strength, and appearance by covering the entire visible portion.

Bridge

Bridges, on the other hand, are used to replace one or more missing teeth. A bridge is anchored by crowns that are placed on the adjacent healthy teeth, effectively “bridging” the gap left by the missing tooth.


The Process: Precision and Preparation

Tooth Preparation

Before a crown or bridge can be placed, the dentist needs to reshape the tooth. This involves:

  • Core Buildup (if necessary): For teeth that are severely damaged or weakened, a buildup may be performed to provide a stable foundation for the crown or bridge.

  • Preparing the Tooth: A thin layer of tooth structure is carefully removed to allow room for the crown. This step is critical, as it ensures that the crown fits perfectly and blends naturally with the surrounding teeth.

  • Impression Taking: After the tooth has been prepared, an impression or digital scan is taken. This record ensures that the final restoration is custom-crafted to fit precisely over the prepared tooth.

Fabrication and Fitting

The crown or bridge is then fabricated in a dental laboratory or using advanced CAD/CAM technology. High-quality materials such as metals, ceramics, or a combination with metal are selected for their durability and natural appearance. Once ready, the restoration is fitted onto the prepared tooth or teeth and permanently bonded, ensuring a secure, long-lasting solution.


Why Choose Crowns and Bridges?

Crowns and bridges offer several advantages for patients who need restorative dental work:

  • Restored Function: Crowns and bridges help restore the ability to chew and speak properly, enhancing overall oral function. 

  • Enhanced Aesthetics: By custom-matching the colour and shape of your natural teeth, these restorations create a harmonious, natural-looking smile.

  • Long-Term Durability: Made from high-quality materials, crowns and bridges are designed to withstand daily chewing forces and last for many years with proper care.

  • Structural Support: In cases of severe decay or fracture, crowns provide the necessary support to preserve the remaining tooth structure and prevent further damage.

However, it is essential to understand that the success of these treatments depends heavily on the precision of the tooth preparation. Preparing the teeth is a delicate process that requires expert hands and advanced technology to ensure that the integrity of the tooth is maintained while making room for a restoration that is both functional and aesthetically pleasing.


Why Choose a Specialist for Crowns and Bridges?

Opting for crowns and bridges is not just about replacing a damaged or missing tooth—it’s about restoring the entire structure and function of your smile. A specialist in restorative and aesthetic dentistry brings several critical benefits:

Expertise in Tooth Preparation

The process of preparing a tooth is a fundamental aspect of fitting a crown or bridge. A specialist has the experience and technical skills to remove just the right amount of tooth structure, ensuring that:

  • The natural contours of the tooth are preserved.

  • The final restoration blends seamlessly with the adjacent teeth.

  • The underlying tooth remains strong and healthy.

Advanced Technology and Materials

Specialists utilise state-of-the-art digital imaging, CAD/CAM systems, and precision tools to craft restorations that are both accurate and aesthetically superior. This technology not only enhances the quality of the final product but also reduces chair time and improves patient comfort during the procedure.

Customised Treatment Planning

Every patient’s dental structure is unique. A specialist conducts a comprehensive evaluation to design a treatment plan that considers:

  • The extent of damage or decay.

  • The alignment and spacing of adjacent teeth.

  • Long-term functional and aesthetic goals.

  • The patient’s overall dental health and lifestyle.

This personalised approach ensures that crowns and bridges are not only durable but also optimally designed to meet your specific needs.

Long-Term Support and Aftercare

Post-procedure care is as crucial as the treatment itself. A specialist will provide detailed instructions on maintaining your restorations, including:

  • Proper oral hygiene techniques.

  • Dietary recommendations to prevent staining or damage.

  • Regular check-ups to monitor the integrity of the restoration.

This ongoing support ensures that your crowns and bridges continue to perform well and maintain their natural appearance over time.


Transform Your Smile with Precision and Care

Crowns and bridges represent a sophisticated solution for those looking to restore their smile while addressing significant dental issues. Despite the necessity of preparing the tooth structure, when executed by a specialist, this process is carried out with meticulous precision, ensuring that the final restoration is not only functional but also aesthetically pleasing.

Investing in crowns and bridges means choosing a treatment that will stand the test of time, restore oral function, and enhance your overall appearance. By entrusting your care to a specialist, you ensure that every step—from tooth preparation to final placement—is performed with the highest standard of expertise and care.

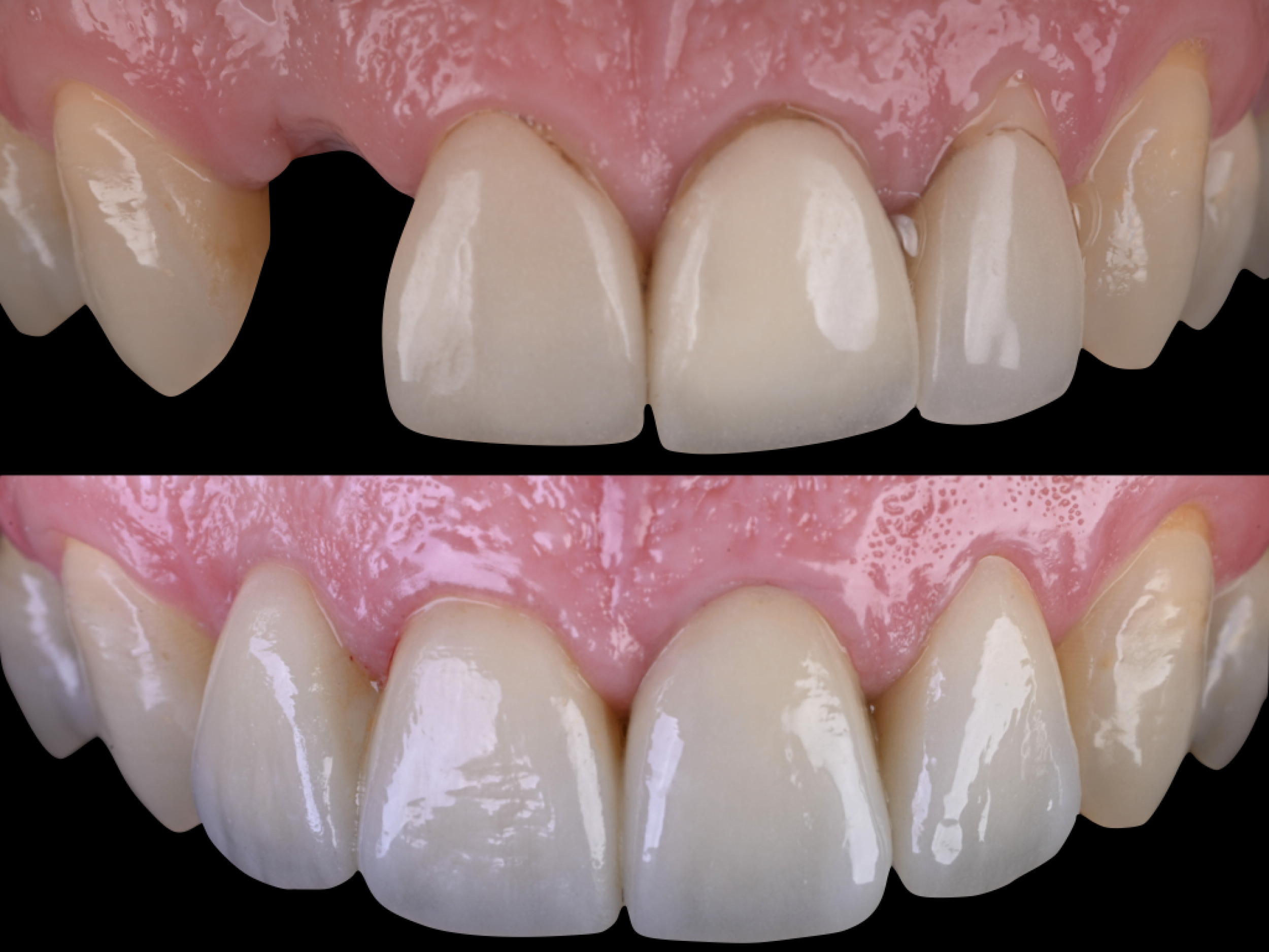
CROWNS AND BRIDGES - BEFORE AND AFTER

Cta Bg

Need more information?

As a specialist Dr Junaid Malik offers a full range of prosthodontic, restorative and aesthetic dental treatments.