What Are Inlays & Onlays?

Think of inlays and onlays as reinforcements for your teeth—stronger than a filling but more conservative than a crown.

An inlay fits neatly into the grooves of a tooth, restoring its chewing surface without extending over the edges. It's the ideal solution when a cavity is too large for a simple filling but doesn’t require full coverage.

An onlay, sometimes referred to as a partial crown, extends over one or more cusps (the raised points on a tooth) for added protection. It provides extra reinforcement for teeth that have suffered more significant damage but still have enough healthy structure to avoid a full crown.

Both types of restorations are meticulously designed to blend with the natural tooth, ensuring seamless integration and long-term durability.


Why Inlays & Onlays Are Superior to Traditional Fillings

You might be wondering, “Why not just get a regular filling?” While composite fillings are effective in many cases, they have their limitations. Over time, traditional fillings can leak, wear down, or even weaken the tooth structure, leading to fractures and repeated treatments.

Inlays and onlays, on the other hand, are custom-made to fit the exact shape of your tooth, ensuring a perfect fit and a longer lifespan. They offer:

  • Greater strength and durability – The high-quality materials used for inlays and onlays (such as ceramic or composite) withstand chewing forces better than standard fillings.

  • A more precise fit – Inlays and onlays are crafted in a dental laboratory under a microscope, ensuring an exceptionally accurate fit. This precision means they seal the tooth closely, helping to keep bacteria out and reducing the risk of future decay.

  • A natural look – Unlike metal fillings, inlays and onlays blend seamlessly with the surrounding enamel, making them an excellent choice for patients who prioritise aesthetics.

A conservative approach – Unlike full crowns, which require more significant reshaping of the tooth, inlays and onlays preserve as much healthy tooth structure as possible.


Why Choose a Specialist for Inlays & Onlays?

While general dentists can place inlays and onlays, working with a specialist in prosthodontics ensures precision, durability, and aesthetics.

Dr Malik brings a deeper understanding of tooth biomechanics, occlusion (bite function), and long-term restorative planning. This expertise is crucial for ensuring that the restoration not only looks natural but also functions harmoniously within the patient’s bite.

The Specialist Advantage:

  • Advanced Digital Technology – A specialist will use CBCT scans, digital impressions, and CAD/CAM technology to design restorations with a high level of accuracy.

  • Better Aesthetic Outcomes – Beyond function, Dr Malik ensures the restoration matches the surrounding teeth in shape, colour, and translucency for a natural-looking result.

  • Minimally Invasive Approach – The goal is always to preserve as much of your natural tooth as possible while reinforcing its structure.

  • Long-Term Predictability – A carefully planned and expertly placed inlay or onlay can last decades, reducing the need for repeated treatments.

  • Utilising a Biomimetic Approach - designed to mimic the natural structure and function of teeth, enhancing both aesthetic appearance and durability while promoting long-term oral health.

When done by a specialist, the difference is not just in appearance but in longevity and comfort.


How Inlays & Onlays Are Placed: Step-by-Step

  1. Initial Consultation & Assessment
    The process begins with a comprehensive evaluation of your tooth. A specialist will assess the extent of damage using digital scans or CBCT imaging to determine whether an inlay or onlay is the best solution.

  2. Core Investigation and Tooth Preparation
    The damaged or decayed portion of the tooth is carefully removed, leaving behind a solid and healthy foundation. The goal is to preserve as much natural tooth structure as possible.

  3. Impressions & Custom Design
    Traditional molds or digital scans are used to capture the exact shape of your teeth, this ensures a perfectly fitted restoration.

  4. Fabrication of the Inlay/Onlay
    Depending on the practice’s technology, your restoration will be taken to a high-quality dental laboratory that will craft it with precision and artistry.

  5. Final Placement & Bonding
    Once ready, the inlay or onlay is permanently bonded to the tooth, ensuring a tight, bacterial-proof seal. The dentist will then check the bite and polish the surface to seamlessly integrate it with the surrounding teeth.


Invest in the Health & Beauty of Your Smile

Inlays and onlays offer a state-of-the-art solution for restoring damaged teeth, combining strength, aesthetics, and precision. Choosing a specialist in prosthodontics ensures the highest level of care, with a focus on preserving natural tooth structure while delivering long-term results.

If you’re looking for a restoration that is:

  • Stronger and more durable than traditional fillings

  • More aesthetic and precise than metal or composite fillings

  • A minimally invasive alternative to crowns

…then inlays and onlays are the perfect choice.

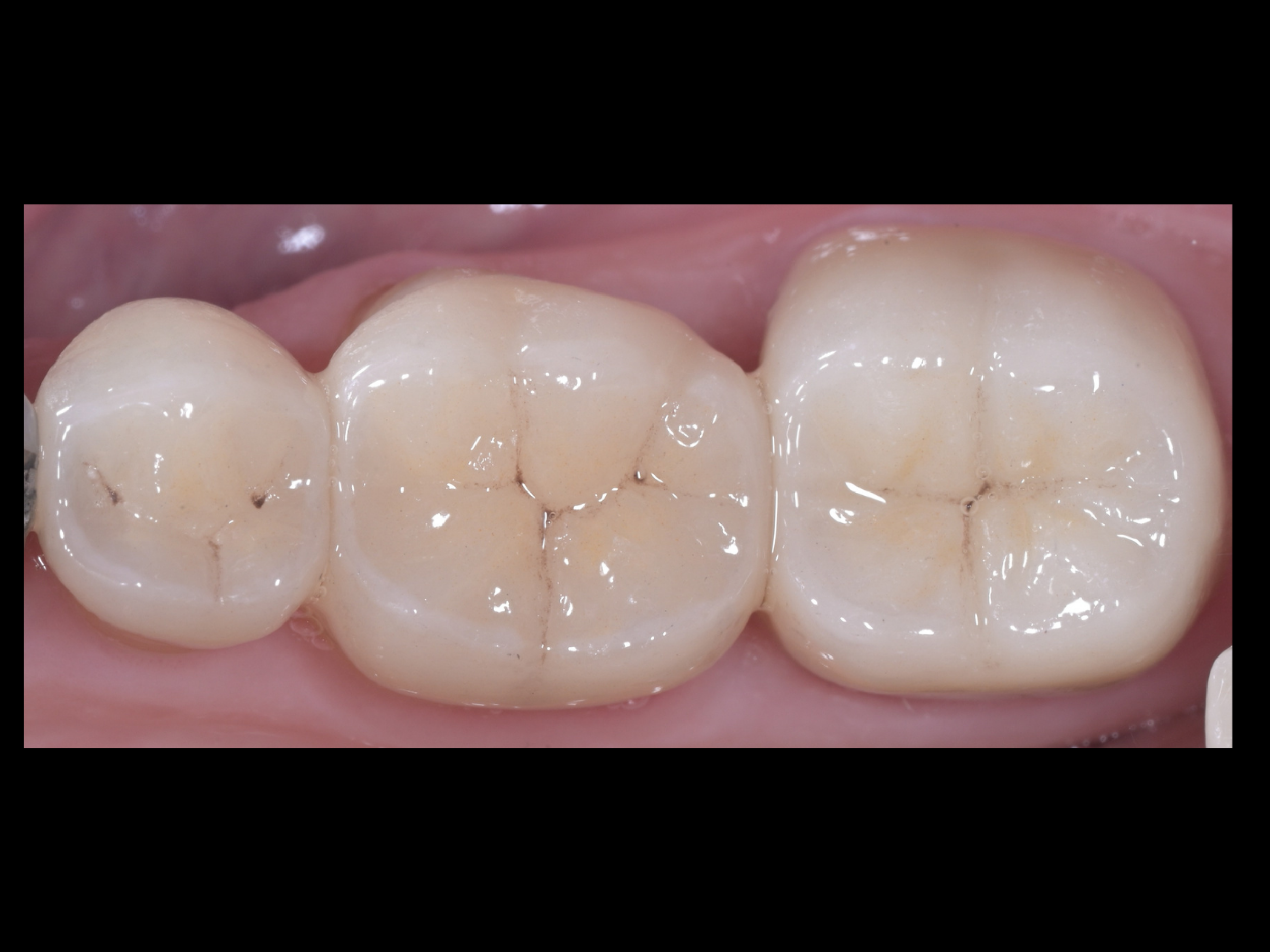
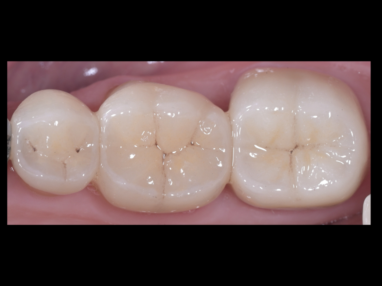
INLAYS AND ONLAYS - BEFORE AND AFTER

Inlays Onlays Junaid Saleem Malik Dentist In London 1
Inlays Onlays Junaid Saleem Malik Dentist In London 2
Cta Bg

Need more information?

As a specialist Dr Junaid Saleem Malik offers a full range of prosthodontics, restorative and aesthetic dental treatments.