What Are Veneers?

Veneers are ultra-thin, custom-made shells designed to cover the front surface of teeth, enhancing their shape, colour, and overall appearance. They provide a long-lasting and minimally invasive solution to common aesthetic concerns such as discolouration, misalignment, chips, gaps, and uneven tooth proportions.

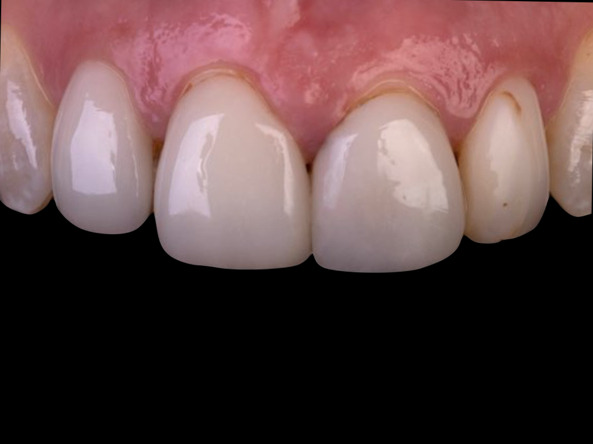
Crafted from high-quality porcelain or composite resin, veneers offer a natural, translucent finish that mimics real teeth, ensuring a radiant and harmonious smile.

Dsc02752 Modificata

Why Choose Veneers?

Veneers are an excellent option for individuals who want to correct multiple smile imperfections in a single treatment. Unlike teeth whitening, which only brightens tooth colour, or orthodontic treatment, which focuses on alignment, veneers provide a comprehensive smile makeover by addressing several concerns simultaneously.

Veneers are ideal for treating:

Severe Tooth Discolouration – Resistant to whitening treatments, deep stains from tetracycline or fluorosis can be completely concealed with veneers.

Chipped or Worn Teeth – Whether due to trauma, grinding, or aging, veneers restore the natural structure of teeth.

Gaps Between Teeth – Close minor gaps without the need for braces or aligners.

Slightly Crooked or Uneven Teeth – Create a uniform smile without the length and complexity of orthodontic treatment.

Unbalanced Tooth Size or Shape – Proportions are adjusted to enhance facial symmetry and smile aesthetics.


The Veneers Procedure: A Specialist’s Approach

1. Smile Design & Digital Planning

A specialist in aesthetic dentistry follows a facially-driven approach, considering the patient’s facial features, lip line, and natural tooth proportions. Advanced digital planning ensures predictable results before any treatment begins.

Using digital scanners and 3D smile design technology, patients can preview their new smile before committing to the procedure. This level of precision and customisation is crucial in achieving a natural and harmonious outcome.

2. Minimal or No-Prep Veneers

A specialist in veneers prioritises conservative dentistry, preserving as much of the natural tooth structure as possible. Depending on the case, minimal-prep or no-prep veneers can be an option, reducing the need for enamel removal and enhancing long-term tooth health.

3. Trial Smile & Provisional Veneers

A “trial smile” allows patients to experience their new look before finalising the treatment. This phase ensures the patient is comfortable with the shape, size, and colour of their veneers before committing to the permanent restorations.

4. High-Precision Bonding for Longevity

Proper adhesion is critical for durability and aesthetics. A specialist ensures veneers are bonded with strong, long-lasting adhesives, preventing detachment and minimising sensitivity.


Why Choose a Specialist for Veneers?

Precision & Aesthetic Excellence

A specialist in veneers possesses the artistic skill and technical expertise required to create natural, lifelike restorations. Each veneer is carefully designed to complement the patient’s unique facial features and smile dynamics.

Collaboration with Master Ceramists

Unlike generic restorations, high-end veneers are crafted by world renowned master ceramists who use cutting-edge materials to replicate natural tooth characteristics such as translucency, texture, and light reflection.

Advanced Digital Smile Design

A specialist utilises state-of-the-art digital imaging technology to plan the ideal smile before any irreversible changes are made. This ensures:

  • Predictable outcomes

  • Customised veneer shape and shade

  • A seamless blend with natural teeth

Long-Term Durability & Functionality

Veneers created by a specialist are not only aesthetically superior but also functionally sound, ensuring longevity and resistance to chipping, staining, and wear.

Minimally Invasive Techniques

By using modern techniques such as ultrathin porcelain veneers, a specialist can preserve more enamel, reducing sensitivity and maintaining overall tooth integrity.


Porcelain vs Composite Veneers: Which Is Right for You?

A specialist can assess which type of veneer is best suited to the patient’s needs, lifestyle, and long-term goals.

Porcelain Veneers

  • Highly durable (last 10-15 years or more)

  • Resistant to stains

  • Superior aesthetics with natural translucency

  • Requires minimal preparation

  • Custom-crafted in a dental lab

Composite Veneers

  • More affordable than porcelain

  • Can be placed in a single visit

  • Easier to repair if damaged

  • Good aesthetics, but slightly less natural-looking than porcelain


Caring for Your Veneers

Post operative instructions

To ensure the longevity and brilliance of veneers, proper care is essential. A specialist provides personalised guidance on:

  • Oral Hygiene: Regular brushing and flossing with non-abrasive toothpaste to prevent plaque buildup.

  • Dietary Habits: Avoiding excessive consumption of staining foods and drinks such as coffee, red wine, and tobacco.

  • Avoiding Excessive Force: Wearing a night guard if bruxism (teeth grinding) is an issue to prevent premature wear or chipping.

  • Regular Dental Check-Ups: Routine professional maintenance to check veneer integrity and overall oral health.


Referrals & Advanced Training for Dentists

For dentists looking to enhance their knowledge in veneer placement and digital smile design, specialist-led training courses provide the opportunity to refine clinical skills and adopt the latest advancements in aesthetic dentistry.

  • Minimally invasive veneer techniques

  • Digital smile design for predictable results

  • Occlusion and function in aesthetic dentistry

  • Layering techniques for composite veneers

A specialist also welcomes referrals from general dentists seeking expert care for complex veneer cases, ensuring a seamless patient experience and outstanding clinical outcomes.


Transform Your Smile with Veneers

Veneers are more than just cosmetic enhancements—they are a fusion of artistry, science, and precision dentistry. Choosing a specialist ensures not only a stunning smile but also long-term durability and oral health preservation.


Enhancing Veneers with Complementary Aesthetic Techniques

Veneers alone can create a stunning transformation, but when combined with other advanced cosmetic and restorative treatments, the results can be truly exceptional. A specialist in Prosthodontics takes a multidisciplinary approach, integrating techniques such as Invisalign, composite bonding, crown lengthening, teeth whitening, and gum contouring to achieve a natural, balanced, and harmonious smile.

Below are some of the most effective treatments that can be combined with veneers to create a perfect outcome.

Invisalign: Perfecting Alignment Before Veneers

Misaligned teeth, crowding, or bite issues can affect the final aesthetic and functional outcome of veneers. Instead of preparing teeth excessively to mask misalignment, a specialist may recommend Invisalign as a pre-restorative treatment to move teeth into an ideal position without metal braces.

Why Consider Invisalign Before Veneers?

Minimises tooth preparation – Less enamel needs to be removed for optimal veneer fit.
Creates a stable bite – Ensuring long-term veneer durability.
Improves overall facial harmony – Enhances the natural proportion of the smile.
Maintains tooth integrity – Prevents excessive reshaping of teeth to “fake” alignment.

Who is it for? Patients with mild to moderate crowding, misalignment, or a poor bite who want perfectly aligned teeth before veneers.


Composite Bonding: The Perfect Finishing Touch

Composite bonding is a versatile, minimally invasive technique that can be used alongside veneers to:

Refine small imperfections – If a veneer is unnecessary, bonding can enhance minor chips or gaps.
Blend natural teeth with veneers – If veneers are placed on only a few teeth, bonding can ensure a seamless match with the surrounding teeth.
Improve proportions – Adding slight volume or length to adjacent teeth for a balanced smile.

A specialist can combine high-quality composite materials with custom layering and shading techniques to ensure natural translucency and texture, blending flawlessly with veneers.

Who is it for? Patients who need minor adjustments to complement their veneer treatment.


Crown Lengthening & Gum Contouring: The Key to a Balanced Smile

Even with perfectly crafted veneers, the gum line plays a crucial role in smile aesthetics. A specialist may perform crown lengthening or laser gum contouring to create an ideal frame for the teeth, ensuring balance and symmetry.

Benefits of Crown Lengthening & Gum Contouring

Fixes a gummy smile – Reduces excessive gum display for a more aesthetic tooth-to-gum ratio.
Enhances tooth proportions – If teeth appear too short or square, lengthening exposes more of the natural tooth before placing veneers.
Creates symmetry – Aligns uneven gum levels for a harmonious smile line.

Techniques Used:

  • Laser gum contouring/Gingivectomy (minimally invasive, no sutures)

  • Surgical crown lengthening (for more extensive reshaping)

Who is it for? Patients with a gummy smile, short teeth, or uneven gum lines who want a truly balanced final result.


Teeth Whitening: A Brighter Foundation for Veneers

Veneers are stain-resistant, but if a patient isn’t having a full set of veneers, the natural teeth must be whitened first to match the shade of the veneers.

Why Whiten Before Veneers?

Achieves a uniform shade – Veneers are matched to the whitest natural tooth shade for a seamless blend.
Reduces the number of veneers needed – Patients can whiten their teeth and get fewer veneers while still achieving a bright, cohesive smile.
Long-term aesthetic maintenance – A brighter natural base ensures better aesthetics over time.

Who is it for? Patients who are only getting veneers on selected teeth and want a consistent shade across their entire smile.


Bite Correction: Protecting Veneers from Wear & Damage

Veneers can be compromised by a bad bite (malocclusion), bruxism (teeth grinding), or jaw misalignment. A specialist may recommend bite adjustment techniques such as:

Occlusal equilibration – Adjusting high points in the bite to reduce uneven force.
Night guards or splints – Preventing grinding and protecting the veneers.

Who is it for? Patients who grind their teeth, have an unbalanced bite, or experience masticatory muscle tension.

The Power of a Multidisciplinary Approach

A veneers-only approach can certainly deliver excellent results, but a comprehensive smile design incorporating these advanced techniques ensures a truly flawless transformation. A specialist in Prosthodontics understands how to combine treatments strategically, balancing tooth position, gum aesthetics, and function for long-term success.

By integrating treatments such as Invisalign, bonding, gum contouring, whitening, and bite correction, a patient can achieve a smile that is not only beautiful but also healthy and durable.

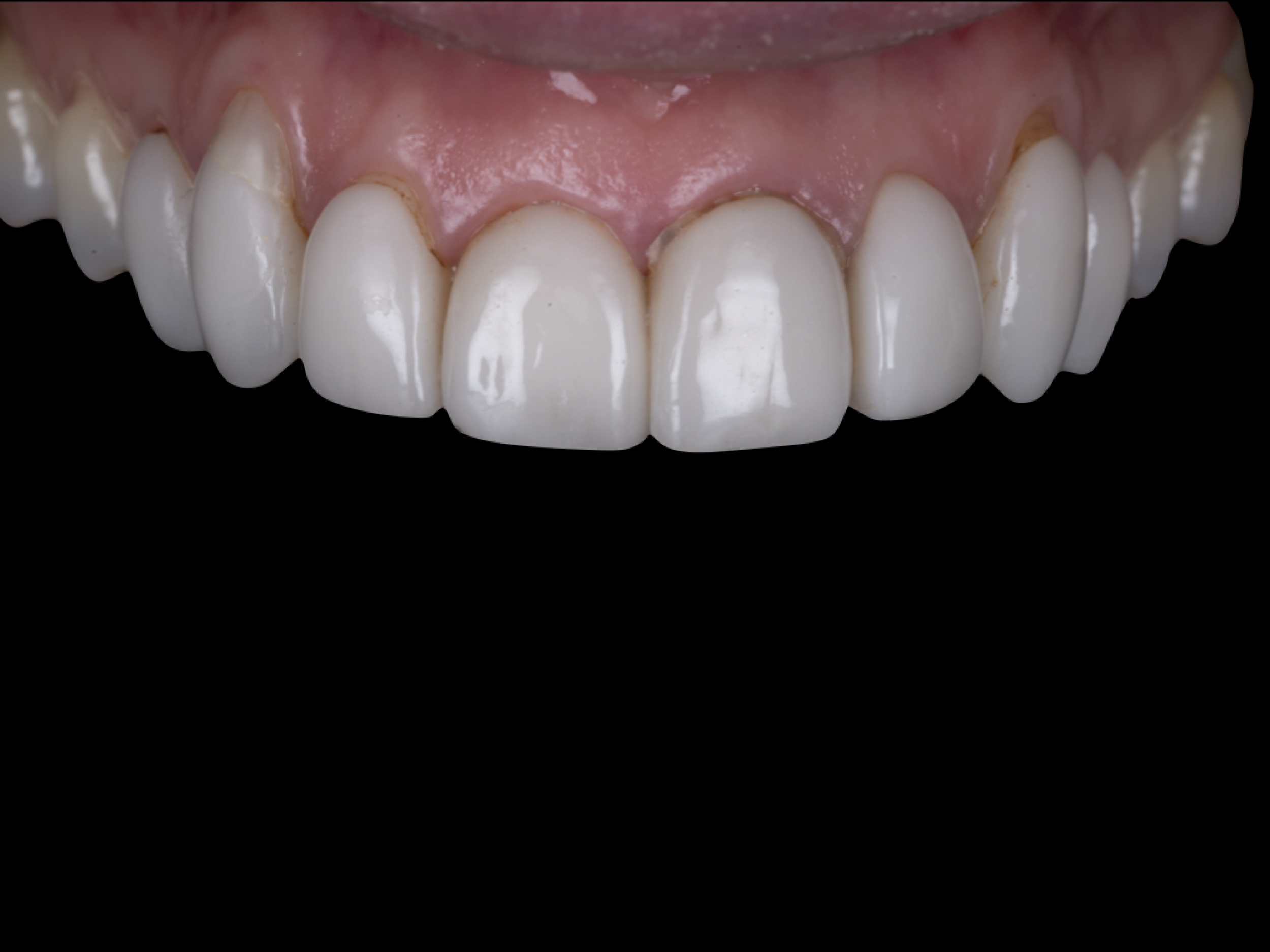
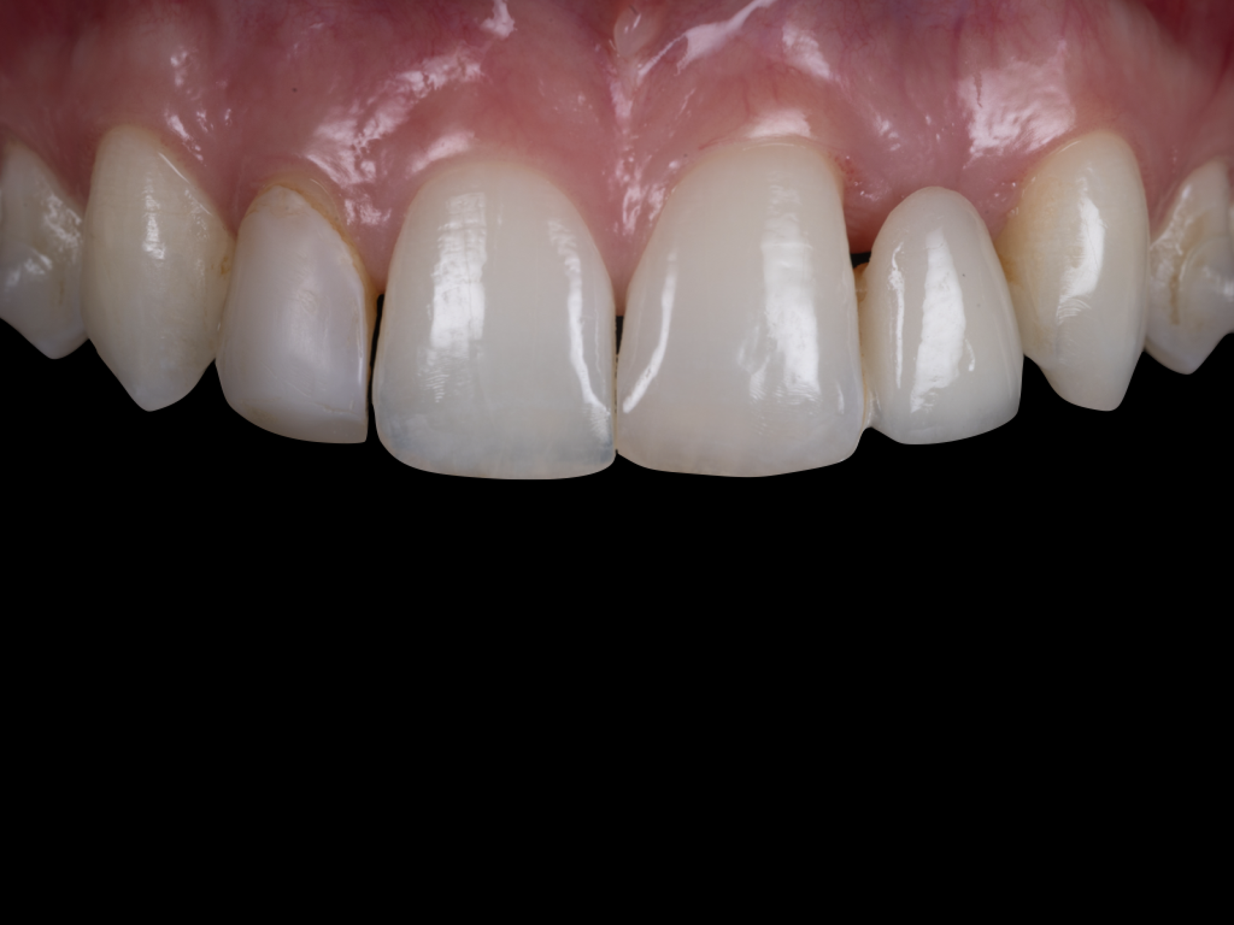
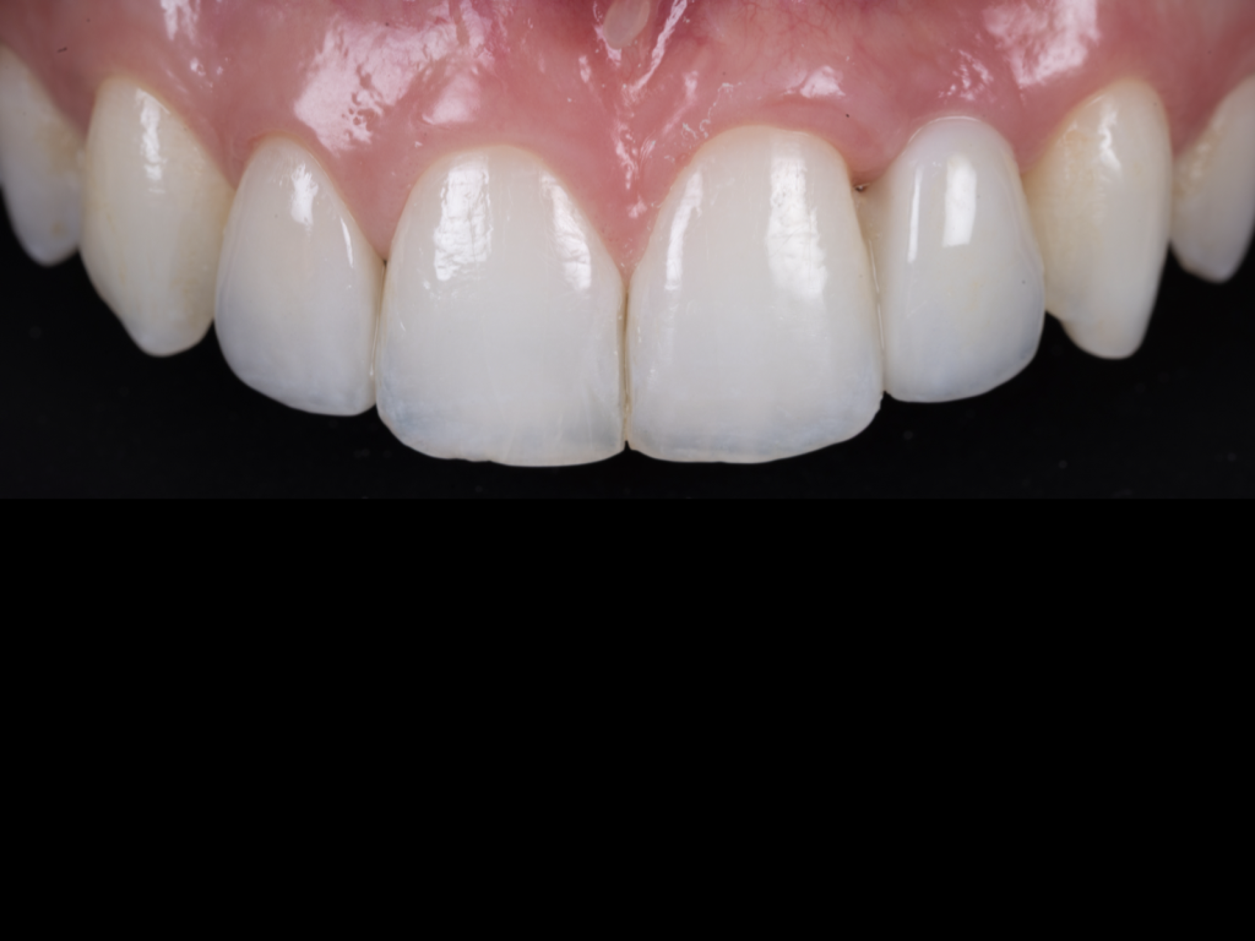
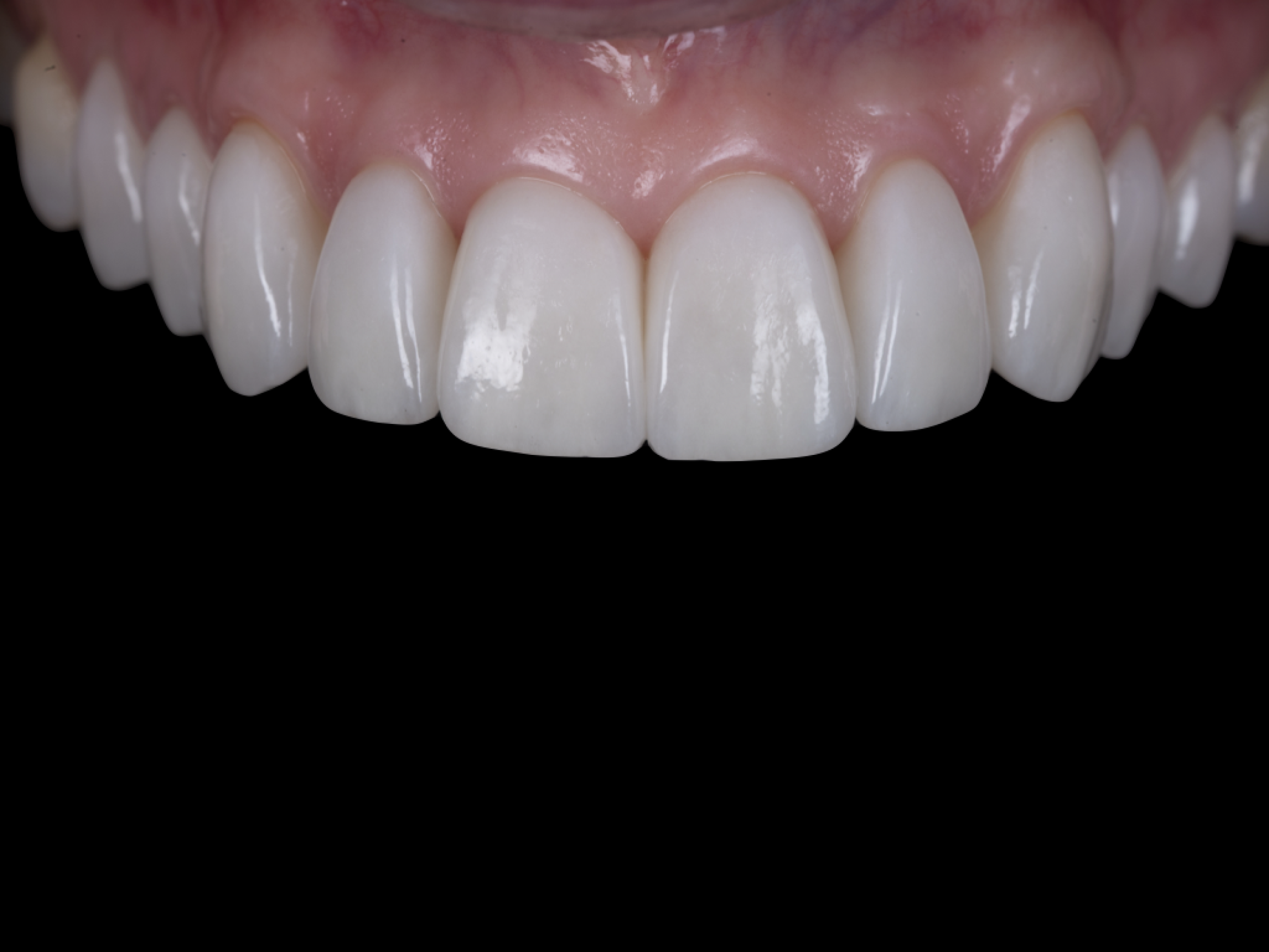
VENEERS - BEFORE AND AFTER

Cta Bg

Need more information?

As a specialist Dr Junaid Saleem Malik offers a full range of prosthodontics, restorative and aesthetic dental treatments.