What is a dental Implant? Why do we use dental implants?

A dental implant consists of three main components:

  • The Implant fixture – A titanium or zirconia screw that is placed into the jawbone, serving as a root replacement that is placed surgically either immediately after a tooth extraction or in a healed ridge many months after tooth extraction. Once placed, the implant undergoes a process called osseointegration, where it fuses with the bone over a few months, creating a permanent and secure anchor for the restoration.

  • The Abutment – A connector piece that links the implant fixture to the final crown, bridge, or denture.

  • The Restoration or crown – A custom-made crown, bridge, or denture that replicates the look and function of natural teeth.


Who Is a Candidate for Dental Implants?

Dental implants are suitable for most adults who have lost one or more teeth due to decay, trauma, cancer and gum disease or for adults with congenital absence of teeth. However, a thorough assessment is required to ensure sufficient bone volume and stable oral health. In cases of significant bone loss, bone grafting or sinus lifts may be necessary to create enough bone tissue to give a sufficiently stable foundation for the implant to integrate.

Junaid Saleem Malik Dental Surgery

Why Choose a Specialist for Dental Implants?

Expertise in Complex Cases

Specialists are trained to handle even the most challenging cases, including:

  • Full-arch rehabilitations (e.g., All-on-4, All-on-6, Implant-supported overdentures)

  • Bone deficiencies requiring grafting or sinus lifts

  • Revision surgery for failed or failing implants

  • Immediate implant placement following tooth extraction

Prosthodontists have extensive experience in both surgical and restorative aspects of implantology providing you with all valuable options to restore your smile and ensuring seamless treatment from start to finish.

Advanced Technology for Precision and Safety

A specialist-led approach integrates cutting-edge digital technologies to enhance accuracy and predictability:

  • CBCT Scans – 3D imaging provides a comprehensive view of bone structure, nerve positioning, and sinus cavities, allowing for precise implant planning.

  • Digital Smile Design (DSD) – This technology enables patients to preview their new smile before treatment begins, ensuring optimal aesthetic outcomes.

  • Guided Implant Surgery – Computer-generated surgical guides enhance accuracy, minimising risks and reducing healing time by ensuring precise implant placement.

  • Facial and Intraoral Scanning – Eliminates the need for traditional impressions, improving patient comfort and accuracy in prosthetic design.

Minimally Invasive Techniques for Faster Recovery

By using innovative techniques and protocols, Dr Malik can significantly reduce trauma to the tissues, leading to:

  • Less post-operative discomfort

  • Faster healing times

  • Reduced risk of infection

  • Immediate temporary restorations for instant aesthetics and function

Dsc03054 Modificata

Prosthetically-Driven Implant Placement

Most patients are not simply seeking a solution to restore function, but also really look forward to seeing their smile in the mirror. While function is crucial, aesthetics plays a significant role in modern implant dentistry. A prosthodontist ensures that the implant is positioned in a way that maintains or enhances:

  • Natural gum contours

  • Symmetry with adjacent teeth

  • Harmonisation with facial features

  • Longevity of the prosthetic restoration

By carefully considering these factors, Dr. Malik creates results that are not only functional but also indistinguishable from natural teeth.

Cta Bg

Failing implants?

Although dental implants are highly successful, problems can sometimes occur. Signs of a failing implant may include pain, swelling, or loosening. Early diagnosis is key, and in many cases treatment can stabilise the implant or allow for successful replacement.

Types of Implant Treatments

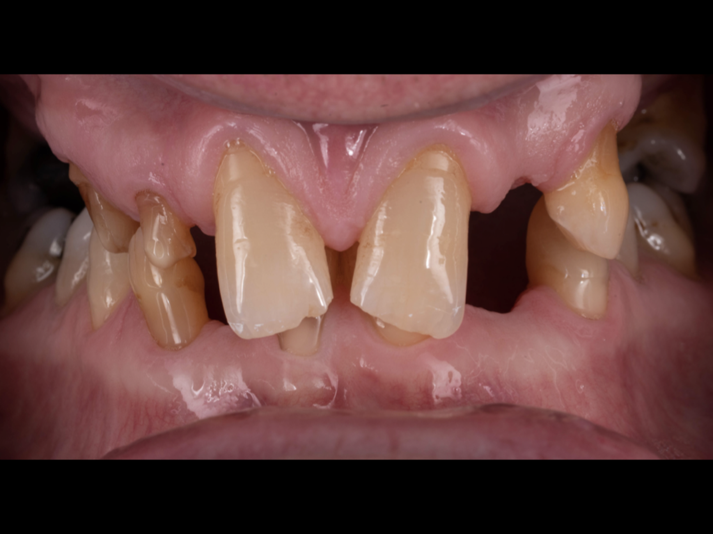
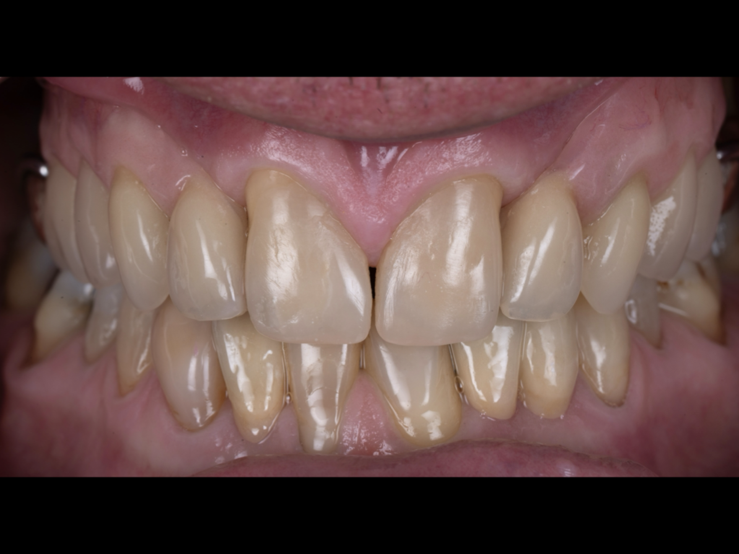
Single Tooth Implants

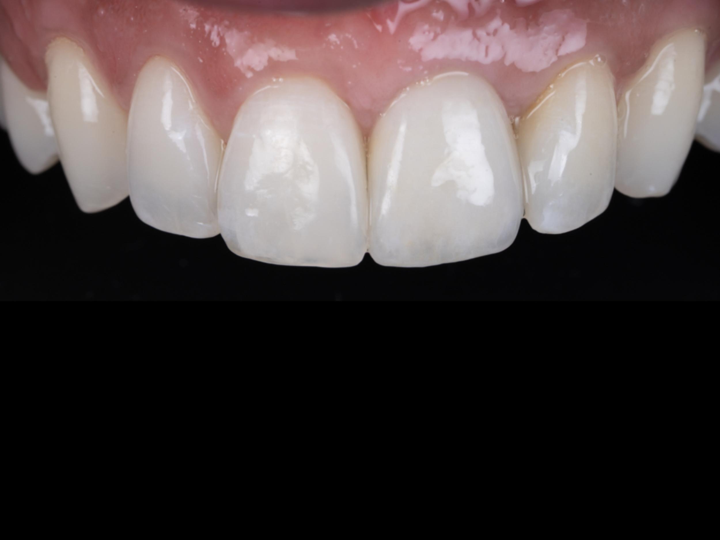
A single implant is the best solution for replacing an individual missing tooth without affecting adjacent teeth. Unlike tooth-supported crowns, implants do not require cutting of adjacent teeth to anchor the crown making implants a more conservative solution.

SINGLE TOOTH IMPLANT - BEFORE AND AFTER

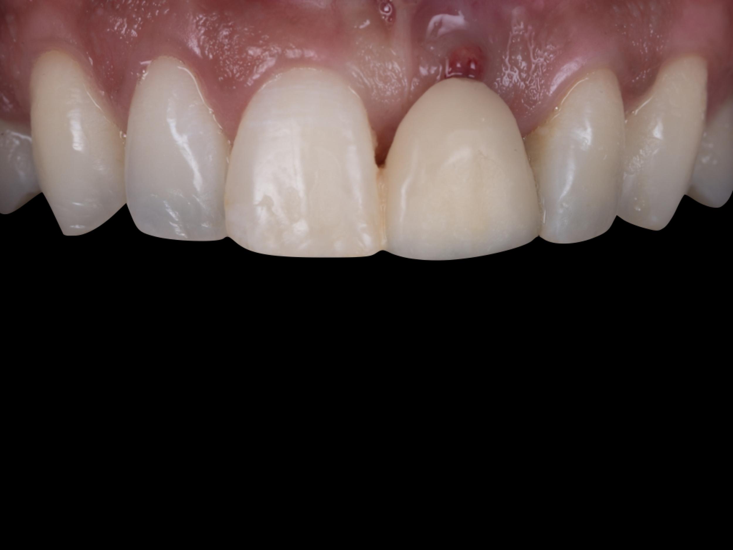
Multiple Teeth Implants

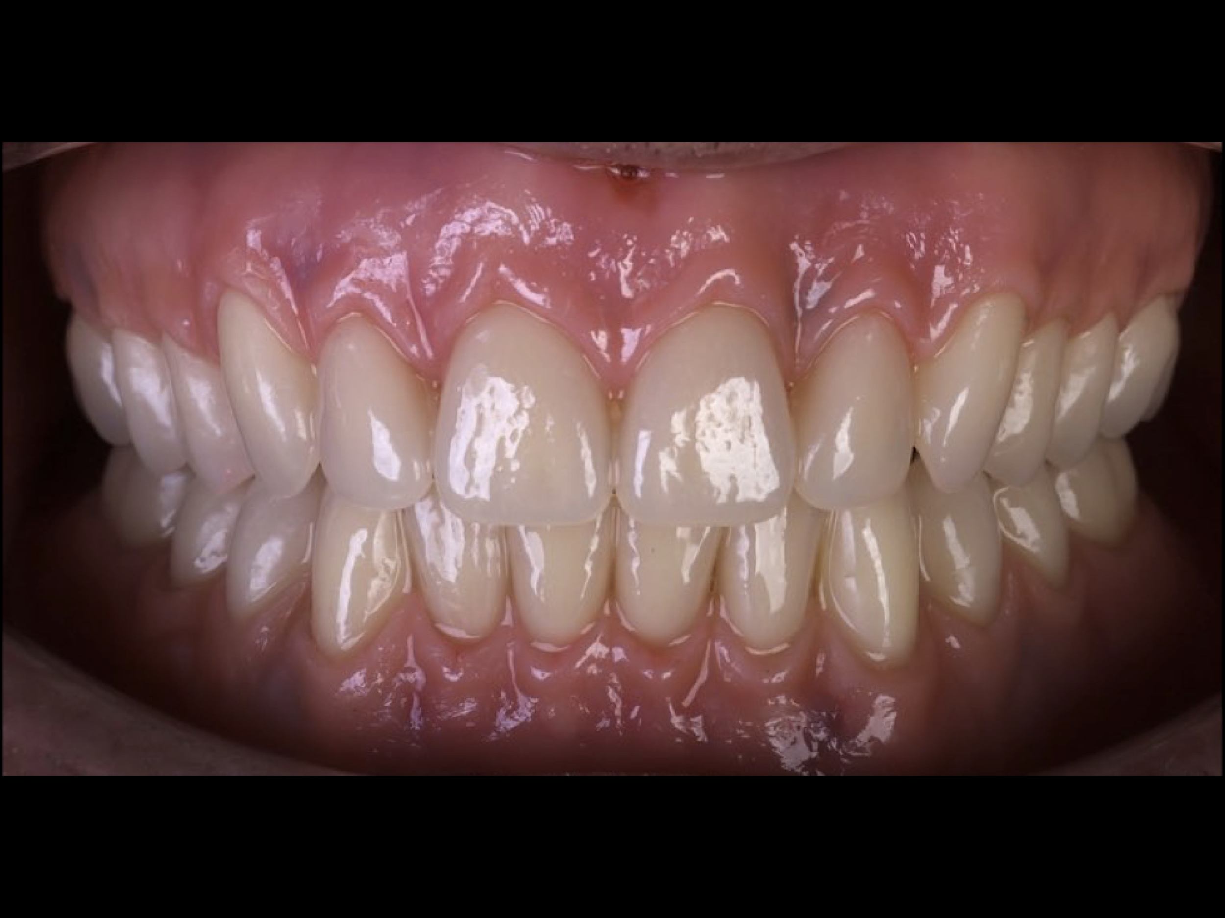
For patients missing several teeth, implant-supported bridges provide a fixed and durable alternative to removable partial dentures. Also in this case, implants can be considered as the most conservative solution for a small span, as there is no need to affect the adjacent teeth. Implants can also be used when the edentulous span is large or when there is no last standing tooth making a tooth-supported bridge an implausible option. 

MULTIPLE TEETH IMPLANTS - BEFORE AND AFTER

Full-Arch Implants

Many patients are surprised to learn that you don’t need one implant for every missing tooth. With techniques like All-on-4 or All-on-6, a full arch of teeth can be securely supported by just four or six implants. These implants are carefully placed at specific angles to spread the chewing forces evenly, creating a strong and stable foundation. This approach is widely used, safe, and designed to restore both function and appearance with less surgery, quicker recovery, and a natural-looking smile.

Implant-Retained Dentures

For patients who struggle with loose or uncomfortable dentures, implant-supported overdentures provide far greater stability and comfort. By placing as few as 2–6 implants, special attachments can be added that securely “clip” the denture into place. This system makes eating, speaking, and smiling much easier while still allowing the denture to be removed for cleaning and maintenance.

IMPLANT-RETAINED DENTURES - BEFORE AND AFTER

Long-Term Success and Maintenance

The latest studies on dental implants boast a success rate of over 95%, but proper care is essential for their longevity. A specialist provides:

  • Guidance on oral hygiene techniques to prevent peri-implant disease that is one of the major causes of implant loss.

  • Regular follow-ups to monitor bone levels and implant stability allowing to promptly intervene when needed

  • Professional cleaning methods to protect surrounding tissues

  • Evidence based approach using scientifically proven techniques and methods.

Patients are encouraged to adopt a thorough oral care routine and attend regular check-ups to ensure their implants last a lifetime.


What happens if there is not enough bone

For some patients, bone loss may be too advanced to place an implant immediately. In these cases, bone grafting or sinus lift procedures are performed to rebuild the jawbone and create a stable foundation for implants.

Bone Grafting:

A bone graft is used to regenerate lost bone in areas where teeth have been missing for a long time. This procedure provides an optimum foundation for the future implants to be placed.

Sinus Lift:

When replacing missing upper back teeth, a sinus lift may be needed if the sinus cavity has expanded into the bone. This procedure increases bone height, allowing for successful implant placement.

Both techniques significantly improve the success rate of dental implants when bone volume is inadequate and are key to achieving a long-lasting, functional smile.


Referral Services for Dentists

For general dentists looking to refer complex cases, Dr. Malik provides:

  • Collaborative treatment planning

  • CBCT scans and digital case assessments

  • Surgical and prosthetic support

  • Comprehensive aftercare for mutual patients

Referring dentists can expect clear communication and the assurance that their patients receive the highest standard of care.

Cta Bg

Need more information?

As a specialist Dr Junaid Malik offers a full range of prosthodontic, restorative and aesthetic dental treatments.